Valgus deformity of the first toe most often affects women of mature age, but it also affects men.A deformed base of the thumb does not look aesthetically pleasing.In this case, the person feels physical discomfort, and in an advanced stage – pain.Deviation of the big toe is the result of an uneven body load on the foot.Such changes have a detrimental effect on the feet and other toes.
Causes of curvature

Hallux valgus does not occur without any reason.This pathology appears and develops under the influence of various reasons.Hallux valgus most often affects people who are genetically predisposed to this disease.Doctors note the following causes of deformity of the 1st toe:
- Excess body weight.
- Endocrine diseases.
- Osteoporosis.
- Flat feet.
- diabetes mellitus.
- Psoriasis.
- Arthritis.
- Hormonal changes during pregnancy and old age.
- Wear tight shoes.
- The specificity of the profession forces a person to endure increased physical activity on his feet every day.
Phases and varieties
Doctors consider 3 stages of disease progression:
- Subtle valgus deviation.Redness of the skin appears, as well as minor scratches.Discomfort when walking.
- The growth is already clearly visible on the thumb.Swelling and pain are observed.
- This form of the disease is considered advanced.The person suffers from constant unbearable pain in the big toe and the entire foot, and the appearance of keratinized skin.The pain does not go away even during sleep.
Many factors influence the development of unpleasant hallux valgus.Experts have singled out the following types of finger deformities as a separate category:
- Crossing of deformities.The curvature occurs in different directions.Fingers crossed.
- Curvature of the joints to the extent that they are always in a bent position.In the first stage of development of the pathology, the fingers can be forced to straighten with the help of hands.If treatment is not started at this point, the fingers will become so stiff that you will no longer be able to straighten them with your hands.Now it is impossible without surgery.
- Taylor deformity.Pathology affecting the little fingers.It is characterized by the appearance of growths on the bones.
- The curvature of the phalanges, resembling hooks.

Experts include ballerinas at risk of developing hallux valgus.Tiptoeing increases pressure on the toes, causing them to curve.Improper gait can also cause unwanted results.The provoking factors worsen even over the years.
Diagnostic methods
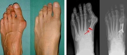
If the visual examination and X-rays do not give any result, the patient is referred to plantography to determine possible flat feet.This method involves taking footprints, based on which shoes or insoles with orthopedic properties are made for the patient.The patient is then prescribed podometry.This method uses computer analysis to determine the pressure of a person's weight on the feet.The results of advanced diagnostics are the basis for choosing a treatment method for curvature of the first and second toes.
The disadvantage of X-ray examination is the need to irradiate the patient's legs, which many patients do not like.They think this is too harmful a method.In this regard, effective treatment of hallux valgus cannot be started without the results of plantography.

This is the best informative diagnostic method.With his help, the doctor determines not only the presence of flat feet, but also the condition of the arches of the feet.A computerized examination is the most effective way to detect flat feet.
In the first stage of identification of valgus of the big and little toe, the doctor conducts a visual examination.In this way, it determines the stage of development of the pathology.In order to determine detailed changes in the joints, X-rays and plantography are prescribed.
Drug therapy
It is better to start a gentle treatment of the foot, as well as the big toe, before the final stage of the development of the pathology occurs.Experts know how to treat this pathology, but they do not know how to cure an advanced form of the disease without surgical intervention.First, doctors determine the cause of finger curvature, as well as the presence of complicating factors.As is known, the task of drug therapy includes symptomatic therapy.This means that pain, inflammation and swelling are eliminated.
Most often, patients are prescribed non-steroidal anti-inflammatory drugs.In addition to their main function, they reduce pain and temperature.When complications arise, hormonal corticosteroids are often prescribed.If the deformation of the fingers is caused by diseases of the internal organs, then the joints can be corrected after the underlying pathology is cured.In this case, endocrinologists are involved in the problem together with other highly specialized specialists.Many people try to cure themselves with folk remedies, forgetting that this is possible only in the initial stage of the development of the pathology.
If the pathology is noticed in the initial stage, then the crooked thumb is corrected with the help of devices - plastic or silicone pads with orthopedic properties.You should wear soft, roomy shoes during the treatment.Orthopedic insoles, arch supports and other correctors are used to correct crooked fingers.Deformed fingers are fixed with special splints, rings, caps and combs.With the help of such devices, the fingers are secured in the correct position.Thanks to orthopedic fixators, the development of further deformations of the fingers is stopped.
There are two ways to treat hallux valgus.The first is painless correction of the deformity that does not require surgical intervention and rehabilitation, the second is treatment through surgery.
Surgical methods of treatment

A complete cure of hallux valgus is possible only with the help of a surgical scalpel.Sometimes only one operation is enough and the patient forgets about the problem forever.The doctor performs the surgical intervention taking into account the type of hallux valgus deformity.The most common types of operations are:
- Exotectomy.Only a certain part of the metatarsal bone is removed.
- Resection arthroplasty.The end part of the metatarsal bone is removed.
- Osteotomy.It is used to remove the metatarsal bone, as well as the small element of the phalanx.
- Resection.The operation is aimed at removing the affected soft tissues, and then transplanting healthy tissues in their place.
- Arthrodesis.Enables forced immobility of the joints.
- Distal osteotomy.The operation involves reducing the angle between the joints.
- Removal of the inflamed big toe bursa.
- Installation of implants.
The rehabilitation period after surgery can last up to seven weeks.During these few weeks, special preventive measures are usually implemented.First of all, these are therapeutic exercises that promote:
- improving the state of health;
- reduction of pain when walking;
- increase in leg muscle tone;
- installation and fixation of the deformed joint in its natural position.
The duration of the rehabilitation period usually depends on the complexity of the operation.To speed up recovery, you should start moving your fingers the next day.After a week, the patient can already stand on his feet and, taking precautions, move slowly.The main thing is to avoid prolonged stress.
After surgery, you will need high-quality, soft and roomy shoes.It is bought on the recommendation of a doctor.By the way, if you start doing therapeutic exercises at the very beginning of the development of hallux valgus, you can do it not only without surgical intervention, but also without spending money on various devices, ointments and medicines.
Experts say that the option of surgical treatment gives almost one hundred percent positive results.This gentle method of treatment does not require anesthesia and does not cause stress or psychological distress.However, painless methods of treatment cannot save a person from the last stage of the disease.
Preventive measures

Preventive measures are quite simple - wearing comfortable shoes with a wide toe, the inside of which does not put pressure on the toes.Joints in particular and feet in general are able to withstand the weight that has accumulated during human growth without causing damage.Therefore, it is very important to monitor your body weight to avoid obesity.
One of the effective preventive exercises is the following: a person, sitting on a chair with his feet on the floor, moves them with his fingers.
The next exercise involves walking barefoot on the floor, alternating on your toes and heels.
Simple gymnastics is quickly mastered, which leads to more complex physical exercises.You can then perform actions such as picking up a pencil or any other object from the floor.
It is better to prevent the deformation of the thumb than to subsequently stand in queues at medical institutions to receive recommendations from doctors on choosing an effective treatment.























